France

Software Schnellerer Zugriff auf die Qualitätssicherung

Quelle: Pressemitteilung JVC Kenwood 1 min Lesedauer

Anbieter zum Thema

Um den Zugriff auf Funktionen im QA Medivisor Agent zu beschleunigen, erweitert JVC Kenwood seine Lösung um eine Utility Software.

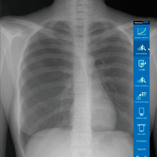
Die Utility Software beschleunigt den Zugriff auf Funktionen im QA Medivisor Agent.(Bild:  JVCKENWOOD)
Die Utility Software beschleunigt den Zugriff auf Funktionen im QA Medivisor Agent.
(Bild: JVCKENWOOD)

Die Utility Software für den QA Medivisor Agent von JVC Kenwood ermöglicht Anwendern einen schnellen Zugriff auf unterschiedliche Monitorfunktionen. So können Nutzer über eine zusätzliche Werkzeugleiste auf dem Bildschirm Funktionen wie Dynamic Gamma und den Auto-Text-Mode aktivieren und verschiedene Presets zur Kalibration erreichen. Zusätzlich können für diese Funktionen auch Tastenkürzeln definiert werden.

All-in-One-Lösung zur Unterstützung von Kalibrierung und QA-Tests

Der QA Medivisor Agent arbeitet mit verschiedenen Sensoren, einschließlich eingebauter und externer USB-Sensoren. Der integrierte Planer erinnert die Verantwortlichen an anstehende Aufgaben und Qualitätssicherungsprüfungen. Herzstück des QA Medivisor Agent ist das QA-Testing: Der Agent unterstützt verschiedene Standards für Abnahme- und Konstanzprüfungen, etwa die aktuelle DIN, AAPM und Jesra. Die Terminierungsfunktion ermöglicht ein flexibles Nachtesten inklusive Erinnerungen. PDF-Berichte liefern eine Historie aller QA-Tests und Kalibrierungen.

Viele Tests können heute remote, also aus der Ferne, stattfinden. Das ermöglicht das Management großer Installationen auch von Heimarbeitsplätzen. Die QS-Lösung plant die Kalibrierungen automatisch und macht es möglich, diese aus der Ferne durchzuführen. Darüber hinaus kann auch das Reporting verbessert werden. Der Server generiert und speichert alle Dokumente automatisch, ermöglicht also ein praktisch papierloses Reporting über die Displayqualität.

Weitere Artikel über OEM-Komponenten und Werkstoffe finden Sie in unserem Themenkanal Konstruktion.

(ID:49644649)

Jetzt Newsletter abonnieren

Verpassen Sie nicht unsere besten Inhalte

Mit Klick auf „Newsletter abonnieren“ erkläre ich mich mit der Verarbeitung und Nutzung meiner Daten gemäß Einwilligungserklärung (bitte aufklappen für Details) einverstanden und akzeptiere die Nutzungsbedingungen. Weitere Informationen finde ich in unserer Datenschutzerklärung. Die Einwilligungserklärung bezieht sich u. a. auf die Zusendung von redaktionellen Newslettern per E-Mail und auf den Datenabgleich zu Marketingzwecken mit ausgewählten Werbepartnern (z. B. LinkedIn, Google, Meta).

Aufklappen für Details zu Ihrer Einwilligung