France

MRT-Plattform Mehr Nachhaltigkeit und Effizienz in der Magnetresonanztomographie

Quelle: Pressemitteilung Siemens Healthineers 2 min Lesedauer

Anbieter zum Thema

Siemens Healthineers legt mit seiner neuen MRT-Plattform den Fokus auf effiziente Arbeitsabläufe und positive Patientenerfahrung. Mit dem Magnetom Flow präsentiert das Unternehmen seine erste 1,5-Tesla-Plattform für die Magnetresonanztomographie mit nahezu heliumfreier Technologie.

Magnetom Flow ist die erste 1.5-T-Plattform von Siemens Healthineers, die über einen geschlossenen Heliumkreislauf verfügt und ohne Quenchrohr auskommt. (Bild:  Siemens Healthineers)
Magnetom Flow ist die erste 1.5-T-Plattform von Siemens Healthineers, die über einen geschlossenen Heliumkreislauf verfügt und ohne Quenchrohr auskommt.
(Bild: Siemens Healthineers)

Siemens Healthineers präsentiert auf dem European Congress of Radiology in Wien Magnetom Flow, seine erste 1,5-Tesla-Plattform für die Magnetresonanztomographie mit geschlossenem Heliumkreislauf. Der Bedarf an flüssigem Helium zur Magnetkühlung konnte dank der Dry-Cool-Technologie von bis zu 1.500 Litern auf 0,7 Liter gesenkt werden – das reduziert Kosten und schont Ressourcen. Der Magnetom Flow überzeugt mit einem kompakten Systemdesign mit einer Höhe von unter zwei Metern, einem Platzbedarf von 24 Quadratmetern und ohne Quenchrohr. Das Quenchrohr wurde bislang benötigt, um im Falle einer Notabschaltung kaltes Helium direkt und sicher aus dem Gebäude in die Atmosphäre entweichen zu lassen.

Zugleich deckt das System mit einer Patientenöffnung von 60 Zentimetern das gesamte Anwendungsspektrum der MRT-Bildgebung ab. Durch die flächendeckende Anwendung einer auf künstlicher Intelligenz (KI) basierenden Bildrekonstruktion werden zudem kürzere Messzeiten bei gleichzeitig verbesserter Bildqualität ermöglicht. Der Automatisierungsgrad von Magnetom Flow kann dafür sorgen, dass der komplexe MRT-Workflow vereinfacht werden kann, um hohe Qualität unabhängig von der Benutzererfahrung zu gewährleisten und die Effizienz zu steigern.

Beitrag zu mehr Nachhaltigkeit

Magnetom Flow ist die zweite MRT-Plattform mit Dry-Cool-Technologie von Siemens Healthineers und kommt damit fast ohne Helium aus. Das Unternehmen hat sich zum Ziel gesetzt, mit dieser und weiteren Technologien in den kommenden Jahren einen Beitrag zu mehr Nachhaltigkeit im Gesundheitswesen zu leisten.

Magnetom Flow verbraucht nicht nur weniger natürliche Ressourcen wie Helium, sondern reduziert auch den Energieverbrauch. Mithilfe des verbesserten Eco Gradient Mode schaltet das System automatisch energieintensive Komponenten ab, sobald diese nicht benötigt werden. Dank der erstmaligen Verfügbarkeit des Eco Power Mode in Kombination mit der heliumfreien Technologie können über Nacht weitere 30 Prozent an Kühlleistung eingespart werden.

Magnetom Flow bietet vereinfachte Bedienung und KI-gestützten Bildrekonstruktion

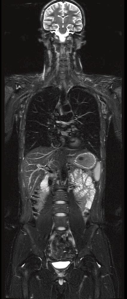
Coronale Ganzkörperaufnahme, akquiriert in unter fünf Minuten mit der der neuen kippbaren Biomatrix-Kopf/Hals-Spule. (Bild:  Siemens Healthineers)
Coronale Ganzkörperaufnahme, akquiriert in unter fünf Minuten mit der der neuen kippbaren Biomatrix-Kopf/Hals-Spule.
(Bild: Siemens Healthineers)

In der klinischen Praxis kann die MRT-Plattform die einzelnen Patiententermine verkürzen und dank einer intuitiven und automatisierten Bedienung die Patientenerfahrung verbessern. So kann die komplette Bedienung nun direkt am Gerät neben den Patienten vorgenommen werden – von der Registrierung über die Positionierung bis zum Start der Untersuchung. Zudem ermöglichen die Spulen, die sich wie eine Decke flexibel an den Körper anpassen, dank neuartiger Sensoren eine automatische Positionserkennung im Untersuchungsraum.

Um die Untersuchungszeiten kurz zu halten und die Bildqualität zu verbessern, ist das System mit einer KI-gestützten Bildrekonstruktion ausgestattet. Diese ist für Magnetom Flow erweitert worden und nun für mehr Untersuchungen als bisher verfügbar. Damit können die Messzeiten um bis zu 50 Prozent reduziert werden – bei gleichzeitig doppelt so hoher Bildqualität. In Kombination mit dem vereinfachten Workflow kann dadurch der Patientendurchsatz in Summe erhöht werden.

Die Plattform Magnetom Flow befindet sich momentan noch in der Entwicklung und ist noch nicht kommerziell verfügbar. Die zukünftige Verfügbarkeit kann von Siemens Healthineers nicht garantiert werden.

(ID:49941971)

Jetzt Newsletter abonnieren

Verpassen Sie nicht unsere besten Inhalte

Mit Klick auf „Newsletter abonnieren“ erkläre ich mich mit der Verarbeitung und Nutzung meiner Daten gemäß Einwilligungserklärung (bitte aufklappen für Details) einverstanden und akzeptiere die Nutzungsbedingungen. Weitere Informationen finde ich in unserer Datenschutzerklärung. Die Einwilligungserklärung bezieht sich u. a. auf die Zusendung von redaktionellen Newslettern per E-Mail und auf den Datenabgleich zu Marketingzwecken mit ausgewählten Werbepartnern (z. B. LinkedIn, Google, Meta).

Aufklappen für Details zu Ihrer Einwilligung